Scottish Service for SRS for Benign Conditions
Welcome to the Stereotactic Radiosurgery page where you can find out about our service, who we are and what we do
What is stereotactic radiosurgery?
- Stereotactic radiosurgery (SRS) is highly focused Xray treatment used to treat small lesions in the brain, usually under 3cm.
- It differs from standard radiotherapy because rather than giving the treatment in multiple small doses called fractions, it is delivered in a single or a small number of fractions.
- It requires specialist planning software and systems which enable extremely precise localisation of the treatment.
- SRS refers to treatment for lesions in the brain.
- Stereotactic Ablative Radiotherapy (SABR) also called Stereotactic Body Radiotherapy (SBRT) is a similar form of radiotherapy but refers to treatment for lesions in the rest of the body.
Why use SRS?
- SRS is mainly used to treat benign (non-cancerous) conditions, often when the location makes surgery challenging.
- These lesions are well defined and often close to critical structures and in SRS the drop from high to low dose is steeper than when treating larger lesions.
- Due to the precision of the treatment we are able to deliver much higher doses, measured in Gy, to the tumour whilst avoiding important surrounding structures.
How SRS works
- Conventional radiotherapy (1.8-2.5Gy per fraction) works mainly on dividing cells, damaging DNA which cannot be repaired by cancer cells, whereas the large fractions used in SRS (more than 5Gy) affects the cell chemistry and blood vessels supplying the lesion.
Standard Radiotherapy

Radiosurgery

Who are we?
- We are multi-disciplinary team of specialists in radiosurgery based in the Edinburgh Cancer Centre (ECC) in Western General Hospital, Edinburgh
- SRS has been delivered in ECC since 1995. Since 2018 we have been a Nationally Commissioned Service delivering SRS for benign conditions for people from across Scotland.
- The service has been awarded International accreditation via independent Novalis Certification
Meet the team
- Consultant Radiation Oncologists with subspecialisation in SRS. Leads: Professor Sara Erridge, Dr Sharon Peoples, Dr Moray Kyle and Dr Marjory MacLennan (metastases only).
- Stereotactic therapeutic radiographers co-ordinate and deliver the treatment. Lead: Ashley O’Connor.
- Clinical scientists and Clinical technologists plan the treatments, ensure accurate delivery and lead on technological developments. Lead: Lizzie Philp.
What conditions are treated with SRS?
Benign Conditions treated with SRS as part of National SRS Service include:
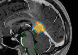
- Vestibular schwannoma (acoustic neuroma) – benign growths of the hearing and balance nerve.

- Meningioma – growths arising from the membrane covering the brain (meninges). Small grade 1 lesions can be treated with SRS.

- Arteriovenous malformations (AVM) – abnormal blood vessels which can bleed or cause seizures.

- Other lesions
- Paraganglioma
- Haemangioblastoma
- Schwannoma at other locations
Other conditions we treat with SRS, but are not covered by National Service-
- Conventionally fractionated stereotactic radiotherapy (fSRT): this uses the same software and location systems but is delivered using conventional fraction size. This is used for lesions close to eye nerves e.g. pituitary adenoma, meningioma of eye nerves.
- Brain metastases: secondary lesions which have spread from a cancer in the body. Currently we treat up to four lesions as this is the maximum in the clinical trials published to date.
- Re-treatment of primary brain tumours: occasionally recurrences of brain tumours such as glioma are small enough to be treated with SRS
SRS equipment used in Edinburgh
- We use planning software called Brainlab Elements which is optimised for treating small (<3cm) lesions.
- The treatment is delivered using our specialist SRS Linear Accelerators (SRS Truebeam) which have small beam shaping devices and on-board imaging system called ExacTrac Dynamic.
- We use a mask-based (frameless) system for patient immobilisation. This holds the head still whilst the treatment is delivered.
Patient selection
- Referrals are accepted from NHS consultants –usually neurosurgeons, ENT surgeons, or interventional neuro-radiologists.
- All referrals are discussed at one of several Multi-Disciplinary Meetings led by specialists to discuss potential management options.
- When SRS is considered as a potential management option, an appointment (face to face or ‘NHS Near Me’ video) will be offered to the patient to discuss the risks/benefits of SRS for their treatment.
SRS Treatment Pathway
- Imaging: Up-to-date imaging is required to plan the treatment (e.g. an MRI, and for AVMs an angiogram).
- Mask and CT: Patients attend ECC for an appointment to
- Make a bespoke mask to hold head still during treatment.
- Perform a CT scan to give your head shape in the mask and create images for treatment verification.

- Target delineation: The MRI +/- angiogram are registered with CT and then a member of the team defines the volume to be treated and normal structures.
- Planning: The physics team produce the plan and then perform various safety checks prior to treatment. This is complex and can take between 2 and 4 weeks. Most treatments are planned using 3-4 arcs which rotate around the centre of the lesion.

- Prescribing: Once the plan is finished the consultant reviews the plan and prescribes the treatment.
- Treatment delivery : The radiographers will ask you to lie on the treatment couch then put on the mask. X-ray images are taken and compared to planning CT scan. Adjustments are made by moving the couch to align you in the perfect position, the treatment will then begin. This appointment will last approximately 20 minutes.

- Follow-up: You will have a telephone appointment around six weeks after treatment. Frequency of follow-up and MRI scans thereafter depends on the type of lesion which has been treated.
Contacting the Service
Referrals are accepted from NHS Staff only, please contact the administrator.
For non-urgent patient queries:
- Administrator 0131 537 3267.
- Secretary 0131 537 3266.
- SRS Radiographer 0131 537 1068 (answer phone –leave name, DOB and phone number to be called back on).
If urgent, please go via usual NHS routes (e.g. NHS 24 via 111, GP).